
Your Haslet Dentist

Opening Hours
Day | Hours |
---|---|
Monday | 8:30 a.m. - 5:30 p.m. |
Tuesday | 8:30 a.m. - 5:30 p.m. |
Wednesday | 8:30 a.m. - 5:30 p.m. |
Thursday | 8:30 a.m. - 5:30 p.m. |
Friday | 8:30 a.m. - 3:00 p.m. |
Saturday | 8:00 a.m. - 2:00 p.m. |
Sunday | Closed |
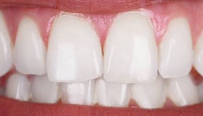
Your Haslet WHITENING EXPERTS
Frequently Asked Questions
Can you give me an estimated duration?
Ditch the messy strips! Professional whitening (Zoom/Boost) offers a faster, more effective alternative in just one appointment (60-90 minutes).
I have some veneers and crowns. Will they be affected by the whitening process?
Whitening won't change veneers or crowns, but fret not! Your Today Dental of Haslet dentist can explore other options to brighten your smile if you're unhappy with their color.
What's the pricing for this?
Whiten your smile on us! Every Today Dental of Haslet patient gets a free teeth whitening kit with custom trays, gel, and a case. We'll happily refill your gel and replace lost trays, all at no charge. For faster whitening results, consider our in-office professional service, typically priced at $200-$300 (holiday specials may offer further discounts).
Would teeth whitening benefit me?
We believe in confident smiles, but whitening responsibly is key! At Today Dental, we assess your individual situation to determine if teeth whitening is the right choice. We consider your current teeth condition, oral health, and desired results. Generally, whitening works well for stains caused by age, food/drinks, and smoking, but it may not be suitable for untreated cavities, gum disease, or other dental issues. Remember, overuse or improper use of whitening products can lead to sensitivity and complications, so seeking professional advice is crucial.
Should I wait to whiten my teeth?
Is teeth whitening right for you? Age matters! While we encourage healthy smiles at Today Dental, teeth whitening is generally not recommended for those under 16. This is because their teeth are still developing and more sensitive. If you're under 16 and considering whitening, we can advise on waiting or discuss alternative approaches.