We Do the Impossible…

Pain Free Root Canals

Fingers crossed you don’t need it, but if you do, we’re here to help

Your Haslet Dentist

Owners of Today Dental

Today Dental Crowley

Root Canals designed to last

Successful root canals is our passion! Our root canals are designed with longevity in mind. We excel with the highest standards of quality implementing the latest technology and state-of-the-art methods.

No pain appointments!

Root canals at Today Dental of Haslet are completed to save your tooth and alleviate any pain you’re experiencing. Be confident that our root canal procedure is as pain-free as a routine dental filling.

Money saved

Save on costs with our Haslet dentist! We optimize root canal appointments for efficiency, providing affordable treatments without compromising your dental experience.

Less time, better results!

Today Dental of Haslet makes root canal therapy a breeze with streamlined procedures and the latest dental advancements, minimizing appointment times. Enjoy more quality time with your family and less time at the dental office.

Veteran dentists

Trust our experienced dentist! We invest countless hours in Continuing Education courses, fostering a commitment to continuous learning. Stay assured as we stay updated on the latest methods and products, ensuring superior outcomes.

Saving tooth structure

Seeking excellence in root canal care? At Today Dental of Haslet we specialize in conservative approaches, ensuring the preservation of natural tooth structure through minimally invasive root canal therapy.

Root canals done right

We’ve turned the dreaded words root canal into, “huh, that wasn’t bad at all.” Nightmare root canal stories will be a thing of the past once Today Dental of Haslet takes care of you.

Years of Dental Experience

Should you put your oral health in the hands of a novice? Here at Today Dental you can feel confident this dental team knows their stuff! Rest assured, this isn’t our first rodeo.

Money Saved

At Today Dental of Haslet we know dentistry can be expensive. That’s why we’ve created efficient protocols to lower costs for our patients. This allows us to maintain our quality dental treatment for each and every patient.

Pain free root canals

Root canals are designed to save the tooth while often relieving pain you might be going through. Rest assured that a root canal at Today Dental of Haslet will feel as pain free as a simple dental filling.

A gentle touch

Today Dental of Haslet is known in the area for its ability to provide dental experiences that keep patients coming back for years and years to come. We’re gentle and our patients feel the difference.

Less chair time

Modern dentistry has allowed us the technology to provide root canals in a shorter amount of time. More importantly, it’s usually less dental visits. Yay for modern technology!

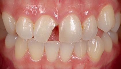
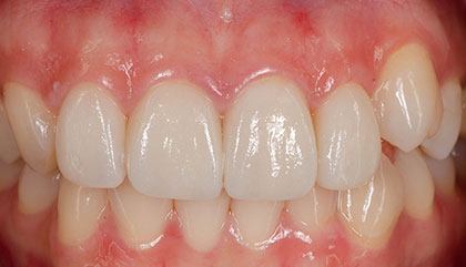
Our Superpower is Saving Teeth

before
after
before
after
before
after
before
after

Opening Hours

DayHours
Monday8:30 a.m. - 5:30 p.m.
Tuesday8:30 a.m. - 5:30 p.m.
Wednesday8:30 a.m. - 5:30 p.m.
Thursday8:30 a.m. - 5:30 p.m.
Friday8:30 a.m. - 3:00 p.m.
Saturday8:00 a.m. - 2:00 p.m.
SundayClosed

YOUR Haslet TEAM

Haslet Office
Haslet Office
Haslet Office
Haslet Office
Haslet Office
Haslet Office
Haslet Office
Haslet Office
Haslet Office
Haslet Office
Haslet Office
Haslet Office
Haslet Office
Haslet Office
Haslet Office
Haslet Office
Haslet Office
Haslet Office
Haslet Office
Haslet Office
Haslet Office
CM
Charlon M.

Amazing service. The entire experience was set up to what my daughter needed. She is high anxiety and asked lots of questions for them. As soon as she walked in they let her know what they were doing and reassured her of all the steps. She came out happy so I am a very happy momma!!

LD
LaShawna D.

Best staff and dentist EVER! I saw Dr. Legault who is kind, courteous and soft spoken. Front desk staff was kind and warm and my dental assistant was AMAZING! 10/10

MH
Melody H.

Staff and doctor were amazing with my baby and his father. We loved the fact that they do adult dentistry as well. We have booked our 3 yr old an appointment & will be booking ourselves as well. Glad we found this office.

RL
Rissa L.

My children were seen as soon as we walked through the door. The dental assistant was so friendly and everyone in the office made us feel at home with their smiles and customer service. Absolutely loved it!

You’ve made it this far. . .

FREE Teeth Whitening

Just ask at your first visit

Your Haslet ROOT CANAL EXPERTS

Frequently Asked Questions

Root canal blues got you down?

Modern advancements mean root canals are far less intimidating. Local anesthesia ensures minimal discomfort during the procedure, and you'll be surprised by how smooth the experience can be.

Does a root canal weaken my tooth?

It's true that large molars, especially, can become more susceptible to cracking after a root canal. This happens because the tooth loses its blood supply and becomes slightly more brittle. To prevent this, dentists often recommend a crown on back teeth after a root canal. However, front teeth generally don't require crowns following root canal treatment.

Can I get a root canal today?

At Today Dental of Haslet, we value your time and understand the urgency of pain relief. We dedicate specific slots in our schedule for same-day root canals. Our goal is to get you out of pain and on the path to recovery as quickly as possible. In the rare case that our office is closed, we'll work with our partner clinic down the street to ensure you receive immediate care.

No pain, no problem, right? Wrong!

In many cases, a root canal is necessary even when there's no pain present. This often signifies the tooth is already "dead" (lacking a nerve), which is why you don't feel discomfort. However, the infection inside the tooth can still spread and lead to serious complications like abscesses if left untreated. To accurately diagnose your needs, our dentists will conduct a comprehensive examination, including X-rays.

Extraction: A simpler solution? Not quite!

While pulling a tooth may seem like a quick fix, it often leads to greater costs down the road. Replacing a missing tooth with implants or dentures can be significantly more expensive than saving the natural tooth with a root canal (and potentially a crown). Additionally, each tooth plays a crucial role in maintaining the structure of your jaw and preventing surrounding teeth from shifting. Saving your natural teeth not only benefits your finances but also contributes to a healthy and stable smile for the long term.