
Your Haslet Dentist

Opening Hours
Day | Hours |
---|---|
Monday | 8:30 a.m. - 5:30 p.m. |
Tuesday | 8:30 a.m. - 5:30 p.m. |
Wednesday | 8:30 a.m. - 5:30 p.m. |
Thursday | 8:30 a.m. - 5:30 p.m. |
Friday | 8:30 a.m. - 3:00 p.m. |
Saturday | 8:00 a.m. - 2:00 p.m. |
Sunday | Closed |
Your Haslet DENTAL cLEANING EXPERTS
Frequently Asked Questions
Can I squeeze in an appointment today?
Absolutely! That's why they call us Today Dental, after all! We usually have openings on our schedule, so just give us a call to confirm and you can be seen today. We know your time is precious, and we appreciate you choosing us!
What's the deal with an ultrasonic cleaning?
It's like giving your teeth a high-tech spa day! Instead of scraping away plaque and tartar, we use sound waves and a special solution to break it all down gently and efficiently. It's faster and less uncomfortable than the traditional way. Think of it as a deep clean with less ouch!
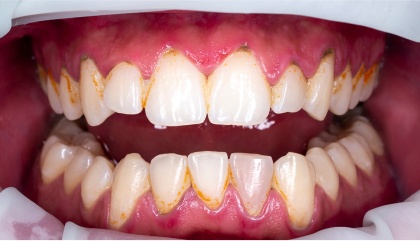
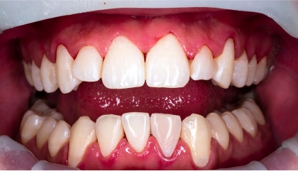
Can you help with deep cleanings, too?
You bet! Our experienced hygienists and dentists are pros at "deep cleanings," also known as scaling and root planing. We'll check your oral health and recommend the best treatment plan just for you. At Today Dental, personalized care is our jam!
Can I get a regular cleaning before I need a deep cleaning?
Not quite. Think of gum disease like a serious issue, and a "regular cleaning" like a Band-Aid on a major wound. It wouldn't be the most effective approach. In some cases, we might do a "debridement" cleaning first, focusing on the teeth above the gumline, to prep you for your deep cleaning appointment.
How long will I be in the dentist's chair?
It depends on your situation. A typical cleaning with an exam and X-rays takes about an hour for returning patients and an hour and a half for new ones. Deep cleanings usually require a separate appointment and can take anywhere from 1 to 3 hours, depending on how much work needs to be done.
We encourage you to schedule an appointment so we can get to know you and create a personalized plan for your smile's health and happiness!