
Your Haslet Dentist

Opening Hours
Day | Hours |
---|---|
Monday | 8:30 a.m. - 5:30 p.m. |
Tuesday | 8:30 a.m. - 5:30 p.m. |
Wednesday | 8:30 a.m. - 5:30 p.m. |
Thursday | 8:30 a.m. - 5:30 p.m. |
Friday | 8:30 a.m. - 3:00 p.m. |
Saturday | 8:00 a.m. - 2:00 p.m. |
Sunday | Closed |
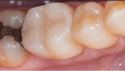
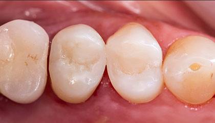
Your Haslet DENTAL FILLING EXPERTS
Frequently Asked Questions
How long does it take?
After the initial exam, dental fillings average around 15-30 mins per quadrant (ie upper right quadrant). At Today Dental of Haslet we prefer to do any and all fillings in one visit saving you time and money.
What is the cost?
Fillings are the least expensive way to restore teeth back to their natural form, function and esthetics. Filling price is dependent on two factors: Location in the mouth (ie back vs front tooth) and number of surfaces needing to be filled (just one side vs the side & top). There are 6 sides to every tooth. The more sides that need to be filled due to decay or fracture the more the cost. In most cases you dental insurance will cover 80% - 100% of the cost. No insurance? No problem! Ask about our in-office discount plan (CareDent) to get insurance-like pricing.
What to expect at your 1st visit?
In some cases the dentist will get the area anesthetized (aka numb) before a filling procedure. In cases of shallow decay, getting numb is not necessary. The dentist will prep the tooth with the handpiece (aka drill). After removing all the decay and fractures the dentist will fill the tooth with a tooth colored composite resin that is hardened by light activation. Your bite will be adjusted to remove any high spots, the filling will be polishes, them you’re done! It’s that simple!
Why should I get fillings?
At Today Dental of Haslet we strive to be conservative. Save tooth structure is our goal. Doing dental fillings in place of crowns is a more conservative and less costly approach that we’ll always take if there is enough remaining tooth structure to do so. Feel confident that your dentist will only do the treatment absolutely necessary. We are family owned and have our family name on the line. We treat all our patients like family and never compromise on quality and never push unnecessary treatment.
Do you repair fillings?
Yes! Sometimes a simple repair is all that’s needed. We’ll always take the conservative approach if possible. However, if decay is present, complete removal of an existing filling is likely. We’ll attempt to save any previous work done in the past as long as it doesn’t compromise function or durability.