
Your Haslet Dentist

Opening Hours
Day | Hours |
---|---|
Monday | 8:30 a.m. - 5:30 p.m. |
Tuesday | 8:30 a.m. - 5:30 p.m. |
Wednesday | 8:30 a.m. - 5:30 p.m. |
Thursday | 8:30 a.m. - 5:30 p.m. |
Friday | 8:30 a.m. - 3:00 p.m. |
Saturday | 8:00 a.m. - 2:00 p.m. |
Sunday | Closed |
Your Haslet DENTURE EXPERTS
Frequently Asked Questions
Time is of the essence: How quickly can I get dentures?
Dentures can be crafted in a matter of weeks, a significant advantage over dental implants that can take much longer. Need a quicker solution? We offer rush orders with temporary options available in 1-2 days. The typical timeframe for dentures involves 2-3 appointments spread over 3-4 weeks, depending on factors like replacing an existing denture, healing time, and the specific type you choose.
Cost-conscious solutions: Are dentures affordable?
Dentures are often a budget-friendly option compared to other tooth replacement methods, especially with insurance. They generally cost between $550 and $2,000, depending on factors like the number of missing teeth, the material and type of denture chosen, and your insurance coverage. We also offer an In-Office Discount Plan for patients without insurance.
First visit: What to expect?
During your first visit, the dentist will discuss your options, outlining the process, timeline, and associated costs. They may also take impressions of your mouth on the same day to expedite the denture creation process, minimizing the number of appointments required.
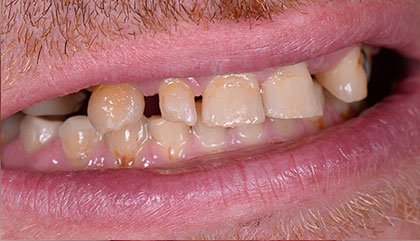
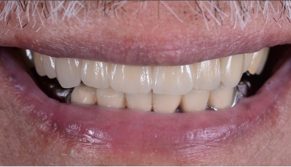
The benefits of dentures: Why choose them?
Opting for dentures can significantly enhance your quality of life by restoring your ability to eat, speak, and smile with confidence. Regardless of whether you're missing a few teeth or require a full set, dentures offer a versatile and cost-effective solution. Beyond their functional benefits, dentures can positively impact your facial structure by maintaining natural contours and preventing the sagging that can occur with tooth loss. With a variety of options available, including full dentures, partial dentures, and implant-supported dentures, we can find the perfect fit for your specific needs and lifestyle.
Denture repairs: Do you offer them?
Absolutely! We prioritize efficiency, aiming to repair your dentures in 1-2 days in most cases. Whenever possible, we utilize conservative methods to focus on preserving and fixing your existing dentures. If repairs are viable, it's generally a faster and more cost-effective option compared to complete replacements. Your satisfaction and convenience are our top priorities!